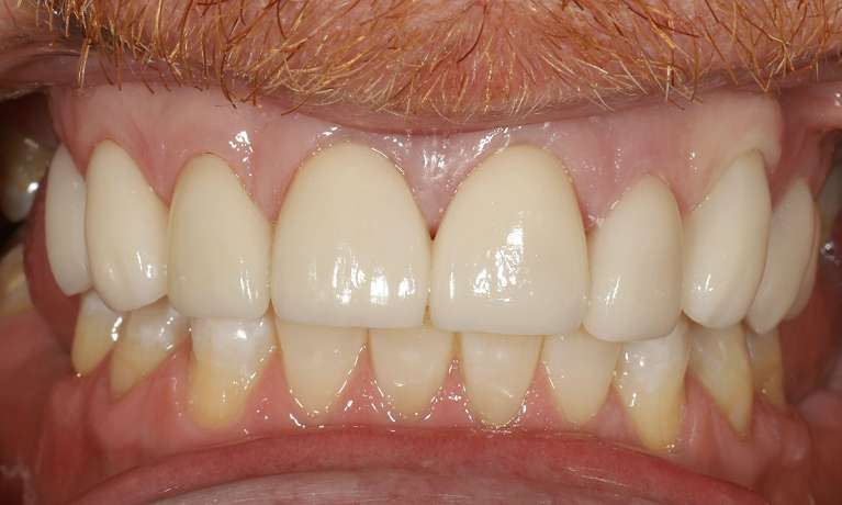
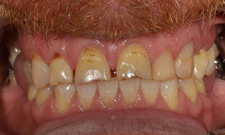
Full Mouth Reconstruction in Clayfield for a Healthier, More Confident Smile
The condition of your teeth and oral health can influence how confident you feel about your smile. People with damaged, broken, missing or compromised teeth may sometimes feel less comfortable sharing their smile.
Northside Dental Solutions offers several dental treatments that can restore your smile and oral health. Sometimes, our dentists combine multiple procedures to create a full mouth reconstruction plan that restores compromised teeth and provides the aesthetic, beautiful smile you need to feel confident again.
What Are the Benefits of a Full Smile Restoration?
Enhanced Function
Improved Aesthetics
Better Nutrition
Boosted Confidence
Bite Stabilisation
Frequently Asked Questions
At Northside Dental Solutions, we understand that cost is often a significant concern when considering full mouth reconstruction. Rest assured, our Clayfield dental practice is committed to making comprehensive dental care accessible to all our patients.
Understanding Full Mouth Reconstruction
The cost of full mouth reconstruction varies considerably depending on your specific needs, the complexity of your case and the treatments required. During your initial consultation, our dentists will thoroughly assess your oral health, discuss your goals and provide a detailed treatment plan with transparent pricing—no hidden costs or surprises.
We believe financial constraints shouldn't prevent you from receiving the dental care you need. That's why we offer several payment solutions to help make your treatment more affordable:
- Flexible DentiCare payment plans that allow you to spread the cost over time
- We accept health funds and can process your claims on the spot
- Our exclusive in-house dental membership plan provides ongoing savings for regular patients
Take the Next Steps Toward Your Best Smile
Many patients are surprised to learn that full mouth reconstruction can be more affordable than expected when approached in planned stages rather than all at once. We can prioritise treatments and create a timeline that works with your budget.
We encourage you to book a consultation with our friendly team to discuss your specific needs and explore your financial options. At Northside Dental Solutions, we're dedicated to helping you achieve optimal oral health and a beautiful smile without breaking the bank.
What Problems Can Full Mouth Reconstruction Fix?

Our dentists can address several smile concerns with a highly personalised treatment plan tailored to your specific needs:
- Broken or chipped teeth
- Missing teeth
- Decayed or damaged teeth
- Tooth stains or discolouration
- Worn teeth
- Oddly shaped or sized teeth
- Gaps between teeth
- Tooth and bite misalignment
Our dentists take time to assess your needs to deliver the best treatment recommendations for your smile. We’ll also give you a detailed cost breakdown of your full mouth reconstruction, so there are no financial surprises.
Our Team
-
Dr Priyena Winterbottom BDS Otago, MRACDS (PDS)
For me, being a Dentist at Northside Dental Solutions is about more than just clinical treatment—it's about connecting with the person behind the smile. I believe in patient-centered care, and my genuine curiosity about people ...
Read More -
Dr Yohan Joo BOralH.DSc, GDipDent
I grew up in Brisbane and moved to Gold Coast to study dentistry at Griffith University. Upon graduation, I have worked in both public and private surgeries in rural and urban areas in Queensland over ...
Read More
Possible Treatment Procedures for Full Mouth Reconstruction

Everyone’s needs differ, and each patient is unique. That’s why full mouth reconstruction is highly personalised and different for every patient. Some of the dental treatments our dentists may recommend for a full mouth treatment plan are:
- White fillings
- Dental bonding
- Porcelain crowns, veneers, or bridges
- Dental implants
- Full or partial dentures
- Professional teeth whitening
Our dentists may recommend one, two, or several treatment procedures to help you achieve your smile goals. We can also arrange your treatment plan into phases that better fit your schedule and budget.
At Northside Dental Solutions, we aim to make high-quality dentistry stress-free and affordable. To that end, we’ll review the complete cost of your treatment and all your payment options with you. The price will not change throughout your care, so there will be no surprises!
The first step toward your healthy new smile is to arrange a booking for an evaluation with one of our dentists. We look forward to helping you improve and maintain your oral health.