Northside Dental Solutions
Affordable Dentistry for the Whole Family

Porcelain Veneers, Crowns and Teeth Whitening

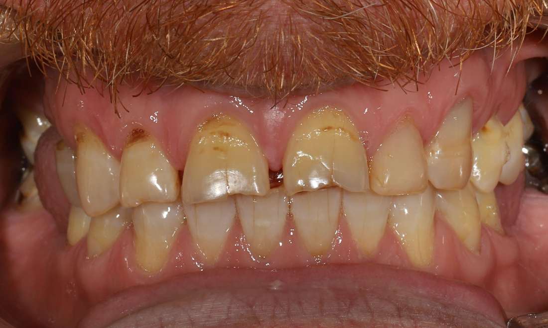
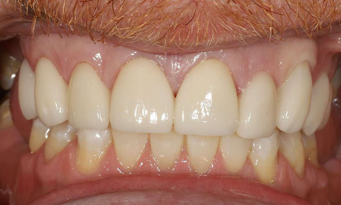
Showcasing a full smile makeover using the unparalleled beauty and strength of porcelain veneers and crowns. This is the one of the best ways to restore worn teeth ensuring they have the strength and longevity to function beautifully for years to come. The porcelain covers provide a protective shield against the daily forces of chewing and grinding helping safeguard the natural tooth structure underneath. We also loved helping this patient achieve their smile goals with professional whitening.

Are You Ready to Book Your Next Dental Visit?
Any surgical or invasive procedure carries risks, and we recommend seeking a second opinion from an appropriately qualified health practitioner before proceeding.
Any surgical or invasive procedure carries risks. Before proceeding, you should seek a second opinion from an appropriately qualified health practitioner.