Northside Dental Solutions
Affordable Dentistry for the Whole Family
Our clinic will be OPEN this holiday season except for on public holidays!

To book in an appointment, including for emergencies, please book online here or call us on (07) 3868 2753.

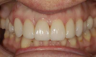
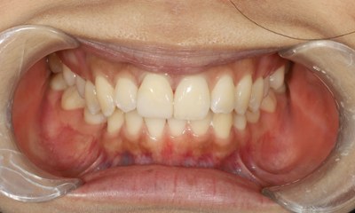
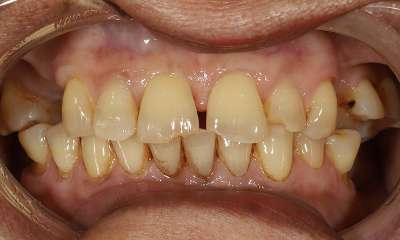
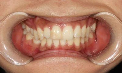
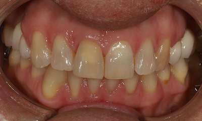
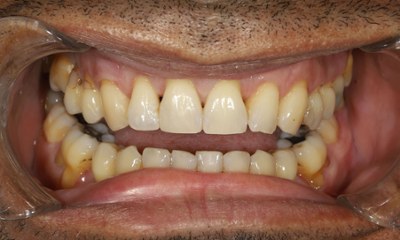
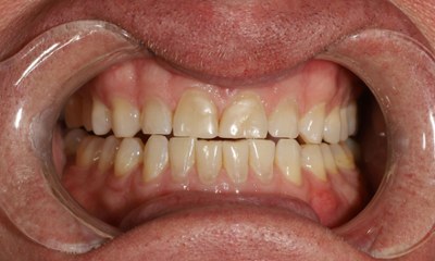
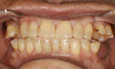
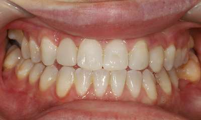
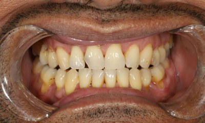
Smile Gallery

We're aiming to change the face of dentistry one smile at a time! Take a look at our before and after pictures to see what's possible for your smile.

*The images shown in our Smile Gallery are examples of dental treatments provided at our practice. Individual results will vary depending on each patient’s dental needs and circumstances.

Still need an appointment?
Any surgical or invasive procedure carries risks. Before proceeding, you should seek a second opinion from an appropriately qualified health practitioner.
Privacy Policy