Northside Dental Solutions
Affordable Dentistry for the Whole Family
Our clinic will be OPEN this holiday season except for on public holidays!

To book in an appointment, including for emergencies, please book online here or call us on (07) 3868 2753.

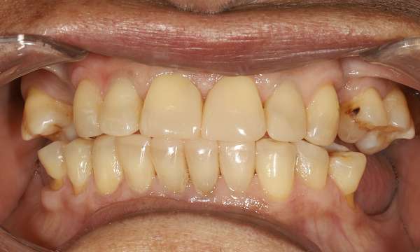
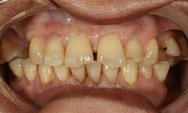
Composite Restorations

This case shows how composite restorations can be used to repair worn front teeth. By conservatively and strategically opening the bite, we were able to create a harmonious and balanced bite, ensuring the newly restored teeth are protected from excessive chewing forces.

Related Services:

Cosmetic Dentistry
Are You Ready to Book Your Next Dental Visit?
Any surgical or invasive procedure carries risks. Before proceeding, you should seek a second opinion from an appropriately qualified health practitioner.
Privacy Policy