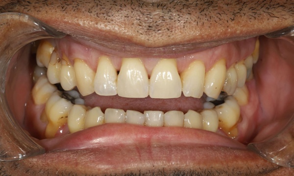
This patient's smile was enhanced with a composite restoration, a fantastic and cost-effective solution for improving smile aesthetics.
This patient's smile was enhanced with a composite restoration, a fantastic and cost-effective solution for improving smile aesthetics.