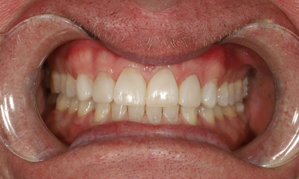
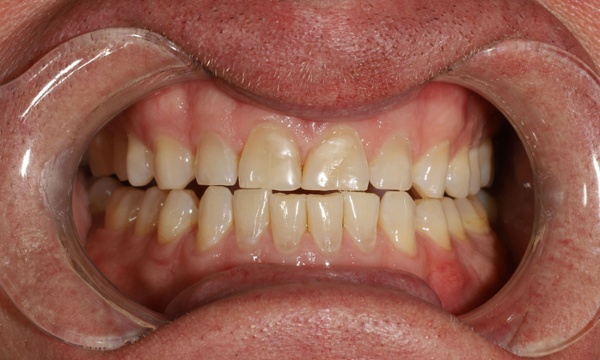
Composite Restorations

This case shows how composite restorations can be used to repair worn front teeth. By conservatively and strategically opening the bite, we were able to create a harmonious and balanced bite, ensuring the newly restored teeth are protected from excessive chewing forces. This brightness was achieved through our custom whitening program, which safely lightened the teeth several shades for a radiant, long-lasting glow.

Related Services:

Cosmetic Dentistry
Ready to book an appointment?