Northside Dental Solutions
Affordable Dentistry for the Whole Family
Our clinic will be OPEN this holiday season except for on public holidays!

To book in an appointment, including for emergencies, please book online here or call us on (07) 3868 2753.

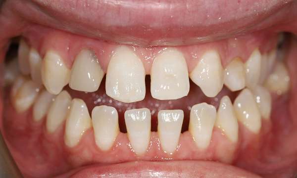
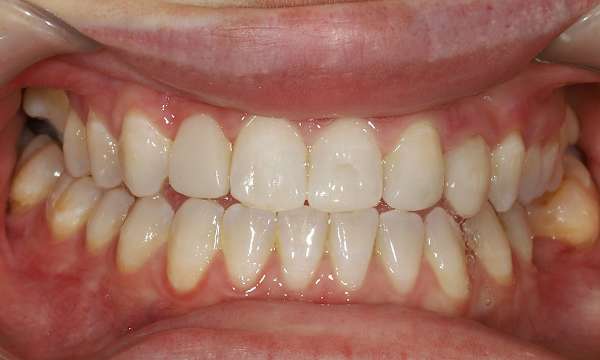
Composite Veneers

A minimally invasive solution for a big change. Clear aligners were used to close all the gaps. We used composite veneers to replace teeth to a harmonious colour and correct tooth shape, proving that small changes can make a huge impact.

Related Services:

Cosmetic Dentistry
Not finding what you need?
Any surgical or invasive procedure carries risks. Before proceeding, you should seek a second opinion from an appropriately qualified health practitioner.
Privacy Policy