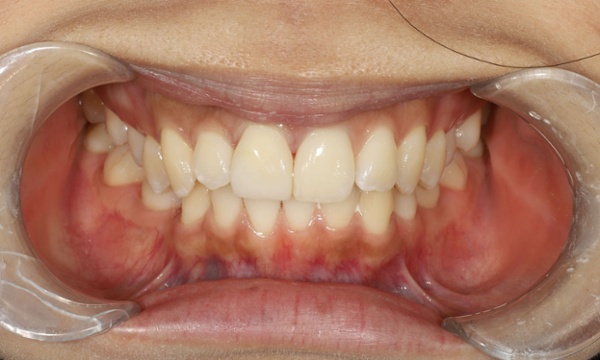
The artistry of composite veneers allowed us to completely revitalize this smile, improving both color and shape with a natural and polished finish.
The artistry of composite veneers allowed us to completely revitalize this smile, improving both color and shape with a natural and polished finish.